Панорамный рентген Vatech PaX i
Гарантия: 2 года, имеет сертификат и регистрационное удостоверение.
Панорамный аппарат PaX-I
Pax-i- простое и доступное решение для традиционной рентгенодиагностики в стоматологии, разработанное компанией VATECH с применением инновационных технологических ноу-хау, с заботой о здоровье человечества.
|
Инновации "И" Означает или нововведение, которое повышает эффективность диагностики и расширяет доступность медицинской помощи большому числу людей, что и является основной задачей VATECH Технологии
Экология Pax-i - полностью цифровая рентгено-диагностическая система визуализации от VATECH, предназначенная специально для повышения безопасности и защиты окружающей среды от пагубного ионизирующего излучения на человека |
![]() |
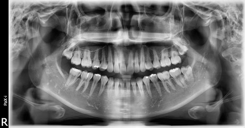
Оптимальное качество визуализации для дентальной диагностики
Pax-i производит наиболее точное и высокое панорамное изображение благодаря техническим разработкам и огромному опыту производства и применения рентгеновских аппаратов компании VATECH.

|
Интуитивно понятный пользовательский интерфейс и различные режимы съемки
| ВЫБОР ИССЛЕДОВАНИЯ | ЗУБНАЯ ДУГА | РЕЖИМ ИССЛЕДОВАНИЯ |
|---|---|---|
| Панорамное Исследование | Узкая / Нормальная / Широкая / Детская | Стандартный / Правый / Левый / Фронтальный Отдел |
| Ортогональная | Ортогональная Стандарт/ Правый/ Левый / Фронт / Прикусной Стандарт/ Правый / Левый / Фронт | |
| Специальный Режим | Нормальная | Внчс Задне-Передний (Опция) Внчс Откр / Закр Боковая Проекция Пазухи Прямая Проекция Пазухи Боковая Проекция (Опция) |
В комплекте с данным аппаратом Вы приобретаете 5 лицензий программного обеспечения EzDent-i со встроенным планировщиком имплантов
- Программное обеспечение EzDent-i ведет электронную картотеку с информацией о пациентах вместе с их изображениями
- Хранимые изображения доступны для просмотра и цифровой обработки фильтрами с любого компьютера в локальной сети
- Делает Вашу консультацию пациента более эффективной и наглядной с возможностью организации многооконного
интерфейса для отображения информации, например, до и после лечения
Спецификации
| Функции | Панорама |
| Фокальное пятно | 0.5 мм |
| Шкала серого | 14 бит |
| Время сканирования | Панорама: обычное 13.5 сек/быстрое 10.1 сек |
| Позиционирование | Стоя/Сидя в инвалидной коляске |
| Тип датчика | CMOS |
| Генератор | Напряжение: 50-90 кВ/Ток:4-10 мА |
| Вес | Pax-i: (Без опоры) 90 кг Опора: 50 кг |
| Производитель | Vatech |
| Страна | Ю. Корея |
| Гарантия (мес) | 24 |
| Размеры товара (мм) | 2300 х 1060 х 1200 |
| Наличие цефалостата | Возможна установка |
| Количество программ | 5 |
| Размер файла (снимка 3D) | 20х20-30х25 |
| Размер вокселя (мм) | 0.2 / 0.3 |
| Стандартная детская панорамная проекция | 12с |
| Съемка ВНЧС с открытым и закрытым ртом | Есть |
| Фронтальная проекция зубного ряда | Есть |
| Съемка околоносовых пазух (синусы) | до 13.9 |
| Тип (технология) датчика (сенсора) | CMOS |
| Время экспозиции | до 13.9 |
| Фокальное пятно (мм) | 0.5 |
| Размер сканируемой области FOV | 10 x 8,5 |
Требования к рабочей станции: Тип процессора Intel® Core™ i3-4150 2C 3.5GHz 1600 3MB cache Чипсет Intel Q87 Express Chipset Оперативная память 1X4GB DDR3-1600 DIMM RAM DDR3 non-ECC Up to 1600 MT/s Жетский диск 500GB SATA 7200 1st HDD Видеопроцессор Integrated Intel® HD 4400 Graphics Питание ≥ 320 Watts (94% Efficiency) Слот 2 PCI Express x 1 Slot 2 PCI Express x 16 Slot 1 PCI Slots CD/DVD Slim SuperMulti Optical Disc Drive Операционная система Windows 7 Pro 64 (available through downgrade rights from Windows 8.1 Pro) Корпус Tower/Workstation
Требования к Источнику бесперебойного питания: двойное преобразование напряжения ( от 3000ВА, 50 Гц) (аппарат и ПК должны быть подключены к ИБП) Рекомендованные модели:
- Eaton 9130 3000
- P-Com Pro 3S
- Ippon Innova G2 3000
- CyberPower OLS3000ERT2U

